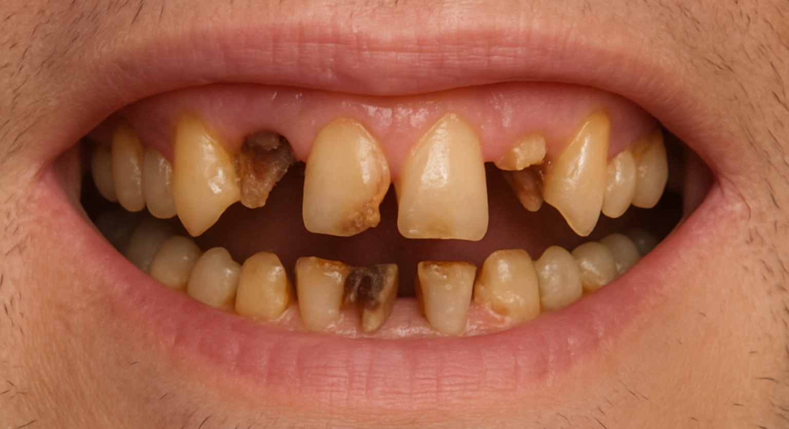
Perte d’une ou plusieurs dents ?
Au cabinet Smile’S Centre Dentairedu Dr. Soumaya BenHamza à El Jadida, nous offrons des solutions de prothèses dentaires modernes et esthétiques, conçues pour restaurer la beauté, la fonction et le confort de votre sourire.
Les prothèses dentaires remplacent les dents manquantes et permettent de retrouver une mastication naturelle, une bonne diction et une apparence harmonieuse.
Elles sont conçues sur mesure pour s’adapter parfaitement à la forme de votre bouche et à la teinte de vos dents.

Selon votre situation Cabinet et vos préférences :
Chez Smile’S Centre Dentaire, nous utilisons les dernières technologies pour garantir des prothèses ultra confortables, résistantes et naturelles.
Le Dr. Soumaya BenHamza vous accompagne pas à pas, de la consultation au suivi, pour un sourire renouvelé sans douleur ni stress.
Chaque type de prothèse présente des bénéfices distincts :
Une bonne hygiène prolonge la durée de vie des prothèses :
Afin de vous garantir un résultat optimal, notre cabinet s’engage à proposer :




Vous souhaitez planifier une consultation, un traitement ou une urgence ?
Remplissez le formulaire ci-dessous et notre équipe vous contactera rapidement pour confirmer votre rendez-vous.
Contactez-nous par téléphone, via notre formulaire en ligne ou en vous rendant directement au cabinet. Notre équipe vous proposera un créneau rapide selon vos disponibilités.
Un dentiste évaluera votre état bucco-dentaire, vous posera des questions ciblées, réalisera si besoin une radiographie, et vous proposera un plan de traitement personnalisé.
Dès validation, les soins débutent dans un cadre confortable, équipé des dernières technologies dentaires. Vous bénéficiez d’un suivi régulier jusqu’à l’obtention de résultats optimaux.
Patient
“Un cabinet moderne, un accueil chaleureux et des soins sans douleur. Le dentiste m’a tout expliqué avant chaque étape. Résultat impeccable pour mon blanchiment. Je recommande vivement Smile’S Centre Dentaire !”
Patient
“J’ai emmené mon fils de 8 ans pour un traitement. L’équipe a su le rassurer et tout s’est très bien passé. Un grand merci au docteur et à son assistante pour leur douceur et leur professionnalisme.”
Patient
“De passage à El Jadida, j’ai eu une douleur dentaire soudaine. Dentifique m’a accueilli sans rendez-vous. Le service était au top et très propre. Bravo !”
Patient
“Service impeccable, hygiène irréprochable et équipements à la pointe. On se sent vraiment entre de bonnes mains. J’ai déjà recommandé à ma famille.”